Joint Pain

Tailbone Pain When Sitting and Standing: Causes and Relief

Dr. Marshall Emig, MD

Tailbone pain, or medically known as Coccydynia, is the tenderness at the tip of the tailbone. Coccydynia, or coccygodynia, is a pain in the region of the coccyx. Are you looking for the best hemorrhoid treatment with hemorrhoid seat cushion, then it is for you?  Poor posture can put too much pressure on your coccyx. We will discuss Why Do You Feel Tailbone Pain When Sitting down and Getting up and also provide you a solution?

Tailbone pain- Source

Why Do You Feel Tailbone Pain When Sitting down and Getting up?

  • Coccydynia occurs due to the inflammation in the tailbone area for prolonged sitting on a narrow or hard surface, vaginal childbirth, degenerative joint changes, or injury.
  • The achiness in the tailbone because of coccydynia feels dull initially. When the pain gets intense, sitting, standing from the seating position, walking, or other physical activities may become painful.
  • Sexual intercourse and defecation may become more complicated when you are suffering from intense tailbone agitation.

Most cases of tailbone are reported to be cured within weeks to months on its own or by non-conservative treatment. But some unfortunate patients suffer from tailbone pain severely for a long time in their lives [Source:].


What are The Best Cushions for Tailbone Pain?

There are a few popular cushions for tailbone pain in the market. They are:


The 5 Best Cushions for Tailbone Pain

#1. BEST GEL MEMORY FOAM Coccyx CUSHION – ComfiLife Gel Enhanced Seat Cushion – Non-Slip Orthopedic Gel for Tailbone Pain 

  • Ergonomically designed coccyx seat cushion that provides maximum support and reduce pressure on the coccyx / tailbone and promotes healthy posture
  • Supports after surgery recovery from lower back pain, herniated discs, tailbone injuries
  • Great for office, home, travel, car seat or wheelchair use and machine-washable zippered velour cover 

#2. Best seat cushion for tailbone pain- Aylio Coccyx Orthopedic Comfort Foam Seat Cushion for Lower Back, Tailbone and Sciatica Pain Relief

  • the ergonomic wedge structure distributes weight evenly and gently cradles your buttocks
  • the U-shaped rear cut-out, preventing lower back soreness and discomfort from prolonged sitting.

#3. Ziraki Coccyx Seat Cushion Orthopedic, For Back Pain Relief & Sciatica & Tailbone Pain Back Support

  • Helps with most sitting pain due to tailbone injuries, sciatica, herniated discs, pregnancy back pain, hip pain, hemorrhoids and other spinal issues.
  • Made with premium quality,100% memory foam products
  • changes with temperature. Ziraki cushion will feel softer in warm and firmer in cold temperatures.


#4. Everlasting Comfort Seat Cushion for Tailbone Pain Relief Cushion – Coccyx Cushion – Sciatica Pillow for Sitting

  • uses heat-responsive technology to mold to the shape of your bottom to support the coccyx, tailbone, lower back, and hips. 
  • It’s lightweight, portable,  help alleviate chronic and acute pain. 
  • It has dual adjustable straps and a hypoallergenic, machine washable and featured with 3D breathable mesh cover.

#5. Kieba Coccyx Seat Cushion, Orthopedic Tailbone Pillow for Sciatica, Back, and Tailbone Pain 

The U-round shape Kieba orthopedic superior grade memory foam cushion will add relief and comfort to any chair, car seat, plane seat, bench wheelchair, or floor. Besides this Kieba Hemorrhoid allows one with great ergonomic support it promotes good posture, proper spine alignment, healthy weight distribution, and ultimate comfort and keeps you sinking all the time.

It doesn’t bunch up and not a high surface and very easy to pick it up and sit anywhere you want. The U shape Kieba is easy to move and more importantly, it is durable for years.

So if you want to kick your hemorrhoids pain with the little inflatable rubber then this one would be the winsome investment right away.


  • more gel coverage than other gel cushions layered with soothing gel technology
  • Non-slip bottom ensures the cushion stays in place and will not shift or slide on any surface.
  • ERGONOMIC: Promotes good posture, spine alignment, and healthy weight distribution for hours of comfortable sitting.

Benefits of Having a Tailbone Pillow

  1. Pain Relief
  2. Posture Improvement
  3. Gentle Support
  4. Cut-out Feature
  5. Different Sizes and Shapes
  6. Portable possible to easily carry the pillow through an airport,car,office

Treating tailbone pain with over-the-counter medications

The pain is not permanent in most of the cases and should go away in a few weeks or in months.

You can try over-the-counter nonsteroidal anti-inflammatory drugs (NSAIDs) to relieve discomfort until your tailbone heals. These drugs include ibuprofen (Motrin, Advil) or naproxen (Aleve) can relieve pain.

Almost 90% cases of conservative treatment of tailbone have reported to be successful.

What is A Tailbone?

Why Do You Feel Tailbone Pain When Sitting Down And Getting Up
Why Do You Feel Tailbone Pain When Sitting Down And Getting Up

Tailbone is the short tail-like bone structure ending the spinal line down the hip.

The tailbone is a triangular-shaped joint consisting three to five coccygeal vertebrae or spinal bones. It is anatomically known as the Coccyx. The tailbone is triangular and consists of between three and five semi-fused bones. People will typically have coccydynia, when they are sitting or when something is putting pressure on the lower spine.

The coccyx works as a supportive structure for human skeleton in case of sitting, ducking, or squatting. It almost works like a gravitational balance between a human hip and the ground or the laying object.

Internally, the coccyx is the central joiner of the tendons, ligaments, and muscles. 

A few of the pelvic muscles enter the tailbone as a musculoskeletal purpose.  

In short, the tailbone is a significant joint of the human skeletal structure with a number of interactive functions.

What is A Coccyx (Tailbone) Pain?  

Tailbone pain or coccydynia is related with the agitation in the lower back area, specifically in the said bone structure, the coccyx, or commonly known as the tailbone.

A typical tailbone pain occurs below the sacrum and above the anus. Prolonged sitting or transition from sitting to standing generates a worse condition of pain for the sufferers [Source].

What causes tailbone pain without injury?

  • Degenerative joint changes
  • Can be limited or restricted mobility. The coccyx causes the tailbone to just outward when in a seated position. 
  • Overweight
  • During the last trimester of pregnancy and vaginal childbirth. Source

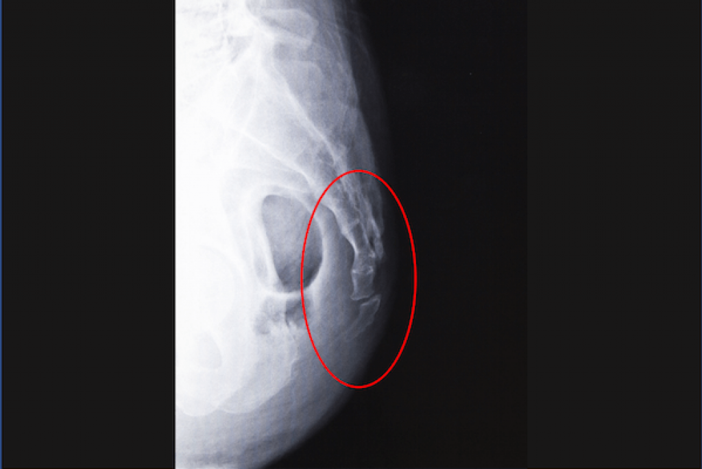
Tailbone injury pictures

What Is A Coccyx (Tailbone) Pain
What Is A Coccyx (Tailbone) Pain

So, What Are The Causes of Tailbone Pain? 

Tailbone pain can be causal or it can be idiopathic, i.e. undetermined.

Women are more likely to be prone to tailbone pain due to their childbirth. During giving birth, their ligaments around the coccyx loosen for accommodating the newborn.

Tailbone Pain Causes- pain in coccyx

Pain emerges as a result of injury in the tailbone or damage in the tissue around the tailbone. Pain in coccyx can lead to difficulty sitting or leaning against the buttocks. The possible causes for the tailbone pain can be as follows:

1.  Trauma or Severe Injury

A trauma or a severe injury may include the following:

  • Fracture of the tailbone after a serious accident
  • Falling backward right on your spine or the tailbone.
  • Grave injuries on the tailbone during contact-sports such as soccer, rugby, basketball, wrestling, etc.
  • Tailbone dislocation due to a dreadful accident.

Above experiences may be well connected with the tailbone agitations and further worsening conditions.

2.  Persistent Strain on Tailbone

Various activities such as cycling, rowing, prolonged sitting, etc. can make you leaning forward more often. If this happens regularly, it can inflame or damage the tailbone or its surrounding tissues.

Such consistent activities may lead to tailbone numbness, discomfort, and achiness.

3.  Childbirth

Women are more prone to coccydynia because of childbirth.

During giving birth the coccyx and the upper spinal bone kind of bend for convenient delivery. This way, the ligaments and muscles around coccyx may overstretch which eventually cause coccydynia in most women.

4.  Repetitive Injury

Repetitive injuries on and around the tailbone area, no matter how little they are, accumulate damage on the coccyx, ligaments, and muscles.  

Contact sport activities like football, wrestling, kickboxing, etc. have more possibilities of producing repetitive injuries that may prove harmful to your tailbone in the long run.

5.  Bad Posture

One may not be able to withdraw from work, driving, or other tasks involving a prolonged sitting position. That’s why most working people, drivers, garments & factory workers, shopkeepers, etc. end up growing tailbone and other lower back complications.

You should keep eye on your back positing no matter what work you do for sparing yourself the worsened coccydynia symptoms. 

6.  Obesity

Too much weight might put pressure on your coccyx and develop tailbone pain in the relevant area.

If one doesn’t keep his or her weight in check, things may get worse in the future.

7.  Underweight

Being underweight is not going to help you also in the case of coccydynia. Your coccyx needs enough muscle to support its position within the tissues.

So, check your body measurement and gain appropriate weight to maintain a balanced spinal structure.

8.  Diseases or Infection

On some rare and most unfortunate occasions, one may develop coccydynia because of having bone cancer. Even a cancer-initiating somewhere else in the body may spread and affect the spinal line.

A rare infection named Pilonidal Abscess may occur at the base of the spine and cause coccydynia.

9.  Aging

With age, the coccyx weakens as the spinal discs of cartilage decline.

The forming bones of coccyx might infuse together and put stress on the coccyx which in turn may worsen the tailbone condition.

What Causes Tailbone Pain Without Injury- Undetermined Reason

There are even times when one might find his or her tailbone affected by coccydynia without any possible reason.

Doctors may find it hard to diagnose the symptoms properly which makes it harder to find out the reason behind coccydynia.

Tailbone pain: How can I relieve it?

Answer From Margaret Moutvic, M.D. Physical Medicine and Rehabilitation

To lessen tailbone pain in the meantime, it might help to:

  • Lean forward while sitting down
  • Sit on a doughnut-shaped pillow or wedge (V-shaped) cushion
  • Apply heat or ice to the affected area
  • Take over-the-counter pain relievers, such as acetaminophen (Tylenol, others), ibuprofen (Advil, Motrin IB, others) or aspirin Source

Long Term Effects of Fractured Coccyx 

Most traumatic injuries to tailbone wears off on their own without much effort and people can restart their physical activities naturally.

But some people might not end up as happily as others do. Their fractures on tailbone may stretch to an extent where they might suffer severely. In rare cases, the cause of coccyx pain may be an infection or tumor.

People who suffer from prolonged effects of fractured coccyx pain may need the following treatments and supports:

  • Sitting on inflatable ring for balancing the injured tailbone weight and saving from further implications.
  • Injections for prolonged coccyx pain may be necessary.
  • Doctors may suggest ultrasound treatment for reducing the pain.

Positioning Leads to Pain

Your daily activities involve various postures throughout the day based on the type of work.

If you are an executive positioned in a desk-job, then you must pass most of your day sitting and working on your desk and on your laptop. If it is a movable job like delivery or dispatch, things are like to be involving walking, standing, bicycling, bike-riding, commuting, etc. for an extended period of time every day.

Standing or walking jobs may offer an alternative position and they might not damage the tailbone tissues as much as done during prolonged sitting, yet based on your weight, internal musculoskeletal complications, diseases, etc. things may go wrong even in such working styles.

A very basic tip-off could be noticing carefully that your tailbone and its immediate upper spinal disk don’t stretch and bend too much during leaning forward or sitting improperly. If this happens consistently, sooner or later, you will end up a coccydynia victim.

Tailbone Pain When Sitting down and Getting up-Cause

Tailbone pain or coccydynia may feel dull initially but at times things may get such complicated that you may even find it difficult to do the inactive movements like sitting.

When affected by coccydynia, sharp and stabbing pain may shoot through your lower back area while sitting for a long time.

Even in the transitioning, from sitting to standing up, you may feel the spasm in the muscles and tissues around the tailbone.

Tailbone Pain Exposures: Persistent and Sudden

The agitation of tailbone pain or the coccydynia may disturb you differently.

Some victims may feel a persistent dull spasm in the tissues or muscles of the tailbone area. This dull pain can become sharp sometimes once or multiple times throughout the day.

Coccydynia may even shoot through your tailbone without any notice at all. This sudden attack can be so painful at times that you might find it hard to move, sit, or even stand up straight.

Why sudden tailbone pain happen

Most jobs are supposed to be done sitting on a chair like garments workers, bank counters, restaurant cashiers, and including desk jobs. So, people involved in such jobs are hampering their spinal structures by sitting too long in one place and cause sudden tailbone pain. These, unknowingly are leading them to coccydynia or tailbone pain in any sudden period.

What is Pilonidal Cyst?

Pilonidal Cyst is a sack formed at the top of the sacrum filled with debris and hair. Initially, there occurs abscess and often leads to infection if not treated and frequently exposed to unhygienic conditions.

Men are more at risk than women of pilonidal cyst as they grow more hair at the upper cleft of the buttock. Often these hairs deposit on the pores to form the abscess or blister.

Conditions that can cause pilonidal cyst are:

  • Overweight
  • Genetic inheritance
  • Thick body hair
  • Sedentary or inactive lifestyle

Symptoms and signs of a pilonidal cyst are:

  • Fever
  • Swelling
  • Redness or florid skin around the cyst area.
  • Pain
  • Surge of blood or pus if the abscess bursts.

Pilonidal Cyst Treatment 

Treatment of pilonidal cyst is most popularly the excision and curettage though many surgeons prefer the incision procedure as well.

[Source].

Methodically, two ways of treatment are applicable in the pilonidal cyst. They are:

  1. Non-operative Treatment
  2. Operative Treatment

Non-operative Treatment

  1. Shaving/depilation: A 3-4 centimeter area around the cyst area should be shaved regularly until the cyst heals completely. Removing the hair from the cyst area lets the cyst wane advertently.
  2. Laser Depilation: When it comes to the laser depilation to treat pilonidal cyst, you have to keep in mind that you may need this treatment repeatedly until your cyst heals completely. Also, the pain never leaves you as long as the cyst remains.

Operative Treatment

  1. Incision & Drainage: Removal of hair and debris with curettage from the diseased area is performed in this treatment. If the cyst doesn’t heal after the first treatment, the incision shall be performed for the second time after the inflammation subsides.
  2. Unroofing & Open Secondary Healing: The Unroofing procedure is more effective than excision as it heals the cyst in quicker succession. Unroofing minimizes the midline wound effectively if there is an abscess.
  3. Incision with Marsupialization: This procedure involves the opening of the midline sinus tracts and includes any secondary tract. This way, the cyst heals quickly.  
  4. Bascom Chronic Abscess Curettage with Midline Pit Excision: A hypothesis that the hair follicle is the main source of the local sepsis is the base of this treatment. A concomitant lateral incision is conducted to curette the debris from the cavity. The wound is left open after incision for healing with a view to the possible second-time incision.

The above treatments are based on the research article Pilonidal Disease by Amit Khanna and John L. Rombeau, published in 2011.

For more detail, you may check the link:

Pilonidal Cyst Home Treatment

Before lying on the surgery table, a few things you might try to save you from the discomfort and pain of the pilonidal cyst.

Things you should do:

  • Try hot and wet compress on the cyst so it eases the pus to drain.
  • Soak the cyst area with warm water.
  • Take a sitz bath.
  • Sometimes ice-pack may help to comfort the inflammation.
  • You may take some nonsteroidal inflammatory as per doctor’s prescription

Don’t try to pop or squeeze the cyst. You might be able to drain out the pus but the hair follicle and debris shall remain in the cyst. This may risk your cyst area of infection and scar.  

How to relieve tailbone pain

  1. Don’t Sit for Long Hours

2. Don’t seat on hard object

3. Don’t ride for long hour in car/truck

Tailbone pain relief

Tailbone Pain Exercises-Exercises You May Do for Your Tailbone Pain –

Since tailbone pain is related to the lowest part of the spine, the exercises should be aiming to strengthen the muscles and tissues of the coccyx area so the spinal structure can be in proper alignment. A recent study found that people doing yoga exercises to increase thoracic spine mobility and to stretch the piriformis and iliopsoas muscles in the buttocks and hips. in study it is also found that tight, immobile lower back can lead to lower back pain.

Type of Exercises:

There are two types of exercise you can do to relieve your tailbone pain. They are:

  • Regular Exercises or Stretches
  • Yoga

Regular Exercises or Stretches

1.   Knee Pulling

  • Lie on your back straight.
  • Grab one of the knees, and pull it gently to your chest level.
  • Hold the knee in that position for 5-10 seconds, up to your endurance
  • Then release the knee and slowly take it back to its normal position.
  • Now, try this with the other knee. Repeat this for 3-4 times.

2.   Lower Back Stretch

  • Lay evenly on your palms and knees on the floor.
  • Drop or press your stomach towards the floor as much as goes down at your comfort. Stay like this for 5-10 seconds and get back to the starting position. Breathe in slowly.
  • Now, press your stomach and round it up.
  • Curl up your back and lower your neck so you can see your feet. Stay like this for 5-10 seconds. Now get back to the starting position.
  • Repeat the whole procedure for 2 to 3 times.

The above exercise is also known as the Cat and Cow Stretch.

3.   Pelvic Tilt

  • Lie straight on the floor. Your knees should be angled upward and feet flat.
  • Inhale and exhale while draw in your abdominal muscle.
  • Try to push your belly button downward the floor. Keep that position for 5 seconds.
  • Get back to normal position. Try to repeat this for 7-10 times.

4.   Piriformis and Cross Leg Stretch

  • Lie on your back and keep your feet flat.
  • Pull your right leg towards you and rest its ankle on your left knee.
  • Now hold around your left thigh and try to pull it towards you for 20-30 seconds.
  • Let your both legs rest for a while and repeat the above procedure alternately.

5.   Kneeling and Iliosoas Stretch

  • Kneel on the floor upright, move forward your one leg and keep it flat against the floor. This leg’s thigh and shin should be positioned at a ninety degree to each other.
  • You should rest on your other leg’s knee and shin while its toe should be pointing backward (You may put a handkerchief or a piece of cloth for not hurting your knee).
  • Put your hands on your hips, press in your pelvis, and lean forward in a slight stretch. Remain in this stretch for 20-30 seconds.
  • Go back to normal position, rest, and try the alternate side.

6.   Twist while Kneeling

  • Take the same position as mentioned in the above stretching.
  • Put the right leg forward with your feet flat on the floor.
  • Raise your arms at your shoulder level.
  • Twist or rotate to your right side until both your arms level the line of your legs. Stay in that position for 5-10 seconds.
  • Go back to the starting position. Do this alternately.

7.   Pigeon Pose

  • Keep on leg flatly pointing backward while the other leg’s foot flat in front.
  • Try to push your front leg’s outer thigh downward as much as you can with your hands pressing the floor.
  • Hold on to this position for 15-20 seconds.
  • Try to alternate side and repeat 3-4 times for each side.

8.   Facedown with the Body

  • Sit on your knees with your toes pointing backward. Spread your knees wider than your hips.
  • Lean forward with your hands comfortably lying on the floor.
  • Slowly put your head down and touch the floor with your forehead. Do this as your feel ease.
  • Be in this position for 10-20 seconds.
  • Get back to the starting position and repeat 2-3 times.

Yoga for tailbone pain

Do a handful of warm-up exercises before starting with the following yoga moves. It is imperative that your whole body muscles, ligaments, and tendons are well-groomed with the upcoming stretches and moves.

The warm-up exercises should ensure the blood flow as well as the oxygen supply throughout your body that makes it easier for the bones and muscles to align with the moves.

1.   Bow Pose

  • At first, lie on your stomach and rest your both arms aside.
  • Try to grab the outer side of the ankles with your both hands; only reach the ankles if it aches to grab.
  • Slowly higher up your torso from the floor/mat along with your ankles held by your hands.
  • Stay in this position for 3-5 seconds while inhaling and exhaling.
  • Repeat this for 2-4 times.

2.   Sun Bird Pose

  • Come down on the floor/mat on your both hands and knees.
  • Raise your right leg and stretch it straight backward. You may similarly raise your left hand and stretch forward.
  • Slowly, bring your raised right knee close to your forehead; try to touch your knee with your left hand. Exhale during these moves.
  • Do it for 4-5 minutes, rest, and start it over with the alternate sides.

3.   Triangle Pose

  • Stand on your yoga mat with your right foot facing outward at ninety degree while the left foot inward at fifteen degree.
  • Maintain your right heel to the center of your left foot’s arch. Inhale once deeply.
  • Now, exhale deeply and bend on your right foot and touch your ankle or shin with your right hand. Keep both your legs straight as much as you can for better effect.
  • Raise your left hand upward the ceiling (or sky if outside) in line with your shoulder. Keep your chest, torso, and pelvis wide open to the front.
  • Keep your eyes at your left hand palm. Breathe in and out slowly and focus on the process more. Calm yourself and stay like this for 5-10 breaths.
  • Now, get back to the starting position, rest, and try the whole procedure on the other side.

4.   Side Angle Pose

  • Stand straight on your yoga mat. Put your right leg forward with a 3-4 feet distance between the two legs.
  • Move your right foot outward at ninety degree. Bend your right leg in a ninety degree angle. Now, bend your body and rest your right hand on your right knee. Keep your right palm upward.
  • Raise your left arm toward the sky and face the palm to the left side.
  • Keep your torso and chest open to the front. Breathe in and out slowly. Try to relax.
  • Get back to your starting position and try the same procedure for the other side.

Tailbone Pain relief -Tailbone Pain Treatment Options for Relief

When coccydynia persists, there are several possible treatment options. These include:

1.   Manual Manipulation

By manual manipulation, the joint between the coccyx and the sacrum can be adjusted in order to reduce the coccyx misalignment, thus reducing the tailbone pain. Modern chiropractic therapy could be a great option for adjusting the spinal bones back to the right place.

2.   Physical Therapy with expert physicians

Physical therapy experts identify the pain point and help you do the pelvic floor relaxation technique.

3.   Medication

Local anesthetic might help you comforting the tailbone pain temporarily for a few weeks. Some doctors might also administer some anti-depressant or anti-epileptic medications.

4.   Surgery (Removal of Coccyx)

Surgery could be the last resort when all other attempts prove failures. The surgical treatment removes the coccyx from your spinal structure to release you from the pain.

5.   Using Seat Cushion

Using appropriate cushion it provides back support by reducing pressure on the tailbone and prevents coccidia as well as can help with sciatica or a herniated disc .

Broken Tailbone Recovery Time

Depending on the severity of your tailbone injury, the healing time may vary.

  • It may take about 4 weeks if you have injured or bruised your tailbone.
  • It may take about 8-12 weeks if your tailbone is fractured.

Doctors may come up with the surgery or tailbone removal option after observing the severity of your tailbone pain for about six months at least.

Tailbone Pain During Pregnancy  

An expecting mother may find her lower back hurting more often, especially during every trimester. Carrying your baby inside you puts naturally a pressure on your spine down the lane and discomforts the coccyx.

Things you should do to relieve your tailbone pain during pregnancy:

  • Sit right. Don’t sit in an awkward position that misaligns your spinal structure and put further pressure on your ligaments and tissues around the coccyx. Use a donut shaped cushion to support your back and the tailbone while sitting.
  • Most pregnant women are suggested to sleep on their left side to support their spine and placenta. If this doesn’t work for you, try keeping a pillow between your legs to comfort your hips.
  • Get going. It means besides sitting and sleeping, you must do some light and safe physical activities such as walking and exercising. It’s important to keep your weight in check. Light walking and exercises help your limbs, muscle and ligament ease and stay strong as you go.
  • Join yoga classes or do yoga moves in your home. There are yoga moves available for pregnant women that helps control their blood pressure and keep their spirit high. A few yoga stretches help their spine stay strong during pregnancy. Be sure to have someone beside you while doing yoga stretches in case you make any wrong move and hurt your baby or yourself. 
  • You may try heat pad or hot bath to relieve from tailbone pain as these would open the blood vessels in your body and increase the blood flow down the spinal line.

What Is A Coccyx Cushion Used for?

A coccyx cushion is used for:

  • Maintaining an appropriate sitting posture.
  • Keeping your tailbone aligned with the surrounding tissues and muscles.
  • Relieving your tailbone or coccyx from extra pressure while sitting.
  • Preventing lower backbone pain, coccydynia or other complications.

FAQ

Why does my tailbone hurt when sitting?

Tailbone pain — pain that occurs in or around the bony structure at the bottom of the spine (coccyx) — can be caused by trauma to the coccyx during a fall, prolonged sitting on a hard or narrow surface, degenerative joint changes, or vaginal childbirth. … Defecation and sex also might become painful.Tailbone pain: How can I relieve it? – Mayo Clinic

Why Do You Feel Tailbone Pain When Sitting down and Getting up?
What is the fastest way to heal a sore tailbone?

1. Rest and stop any physical activity that causes pain. The more you rest, the quicker the injury can heal.
2. Ice your tailbone for about 20 minutes every hour while awake for the first 48 hours, then 2 to 3 times a day.
3. Use a cushion or gel donut when sitting.
4. Avoid sitting a lot.

Does tailbone pain go away?

Tailbone pain can be very uncomfortable. Fortunately, in most cases, the pain goes away on its own within a few months. During that time, there are steps your mother can take to help lessen the pain. … Tailbone pain, a condition called coccydynia, is usually dull achy pain in or around the tailbone. Weekend Wellness: In most cases, tailbone pain goes away within

How do you stretch your tailbone?
Gently increasing the stretch over time will allow the range of movement to expand.

1. Lie down on the back and extend the feet straight out.
2. Bend one knee toward the chest.
3. Hold onto the bent knee and pull it gently down into the chest.
4. Hold for 30 seconds, then repeat on the other side.

What are the best seat Cushion?

ComfiLife Coccyx Orthopedic Pillow -Best seat
cushion for buttock pain
Aylio Coccyx Seat Cushion -Best orthopedic seat
cushion
Ziraki Memory Foam Coccyx Pillow -Best cushion
for pilonidal cyst
Everlasting Comfort Seat Cushion – Best coccyx
cushion for heavy person
Kieba Coccyx Seat Cushion for Tailbone Pillow

Tailbone trauma – aftercare: MedlinePlus Medical Encyclopedia

How do you stretch out your tailbone? – Medical News Today

The research was taken from Dr. Marshall Emig, MD

Dr. Marshall Emig, MD

About Dr. Marshall Emig, MD

Dr. Marshall Emig is a physiatrist and associate professor at the University of Colorado School of Medicine, practicing at UCHealth in Colorado. He holds board certifications in physical medicine and rehabilitation, sports medicine, and neuromuscular medicine, and has over twenty years of clinical experience. His practice focuses on musculoskeletal conditions including arthritis, spinal stenosis, carpal tunnel syndrome, and chronic pain management.

You can get FREE Gifts. Or latest Free phones here.

Disable Ad block to reveal all the info. Once done, hit a button below